down white purple circle arrow down white purple circle arrow
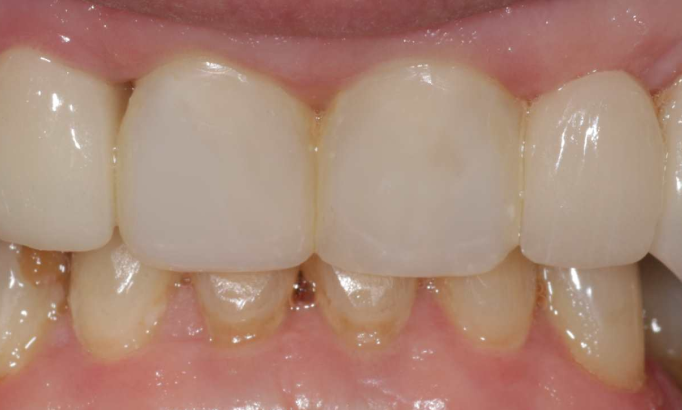
Composite Bonding - Case 8 before Before
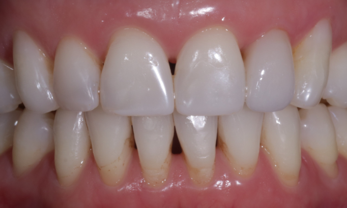
Composite Bonding - Case 8 after After

Composite Bonding – Case 8

Learn More
Composite Bonding - Case 7 before Before
Composite Bonding - Case 7 after After

Composite Bonding – Case 7

Learn More
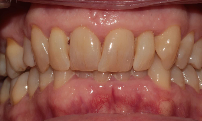
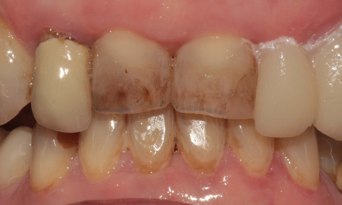
Composite Bonding - Case 6 before Before
Composite Bonding - Case 6 after After

Composite Bonding – Case 6

Learn More
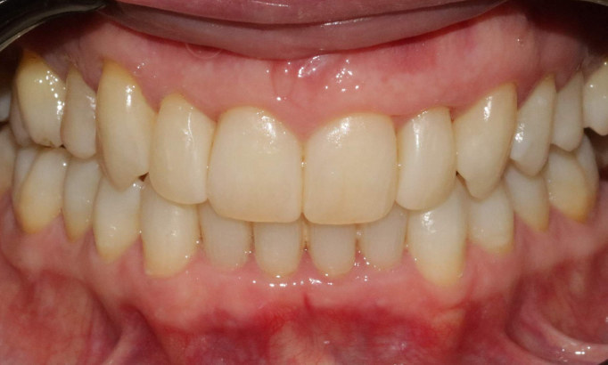
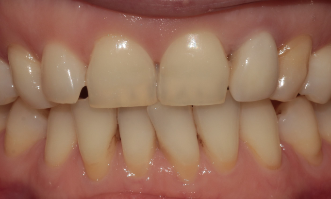
Composite Bonding - Case 5 before Before
Composite Bonding - Case 5 after After

Composite Bonding – Case 5

Learn More

Keep your smile healthy with dental treatments

Enjoy gentle, comprehensive treatment for lasting oral health.

Learn More

Customised enhancements for every face

Tailored to your unique features.

Learn More

Restore your smile with dental implants

Enjoy a natural-looking and lasting solution.

Learn More

Transform your smile with orthodontics

Achieve a straight, confident smile for life.

Learn More

Save your natural tooth with root canal therapy

Relieve pain and restore your smile’s health.

Learn More

Transform your smile with composite bonding

Achieve a natural, confident look in just one visit.

Learn More

Keep your smile healthy with dental treatments

Enjoy gentle, comprehensive treatment for lasting oral health.

Learn More

Customised enhancements for every face

Tailored to your unique features.

Learn More

Restore your smile with dental implants

Enjoy a natural-looking and lasting solution.

Learn More

Transform your smile with orthodontics

Achieve a straight, confident smile for life.

Learn More

Save your natural tooth with root canal therapy

Relieve pain and restore your smile’s health.

Learn More

Transform your smile with composite bonding

Achieve a natural, confident look in just one visit.

Learn More

What our patients say

down purple white circle arrow Alan B

“I don’t normally do reviews, well, not good ones anyway, but on this occasion I will. Having neglected my teeth for over 7 years due to circumstances beyond my control, covid being one of them, so I bit the bullet and went to see my dentist (Heidi) and the outcome was not good as expected, I needed 6 teeth removed, yep that’s going to hurt a little, but then I remembered that Buckden...

Read More

down purple white circle arrow Amie C

“I had the best experience I’ve ever had at a dentist at Buckden Dental Clinic. The staff are all wonderful, from the receptionists to the nurses and dentists. I’m usually a very anxious person at the dentist. I’ve had bad experiences before and had left going to the dentist far longer than I should. I’m also, regretfully, a smoker, which can feel embarrassing and shameful when speaking...

Read More

down purple white circle arrow Rachel

“We were recommended Buckden Dental Clinic and are so glad we were. We recently joined Buckden Dental Clinic after moving to the area and being unable to find any NHS dentists taking patients on. Previous dentists had also left me with some bad experiences, so I was keen to find a well-recommended dental practice. We were recommended Buckden Dental Clinic and are so glad we were. They...

Read More

down purple white circle arrow T.F.W

“I have the utmost confidence that any dental work advised by Kam. I have been a patient of Kam for almost two years. During that time, I have needed a lot of dental work, including the removal of my remaining lower teeth and the provision of a full lower denture. The extractions were painless, and the denture immediately fitted perfectly with no adjustments required. I have the utmost...

Read More

down purple white circle arrow Wendy C

“The hygienist today is the best one I have ever been to. I just wanted to tell you the hygienist today is the best one I have ever been to. She explained what she was going to do before she started, and I didn’t get soaking wet like I did the last time I had it done with the water. Georgina was brilliant as always.”

Read More

down purple white circle arrow Grant O

“Firstly, I must congratulate the whole team at the Buckden Dental Clinic in these much-changed and challenging Coronavirus times. Your procedures have been well organised to manage patients in a protected, safe environment. Explanations were clear from the first contact and were well thought out. The confidence gained overall with regard to the reduction of risk was reassuring. Simona’s...

Read More

down purple white circle arrow Alan B

“I don’t normally do reviews, well, not good ones anyway, but on this occasion I will. Having neglected my teeth for over 7 years due to circumstances beyond my control, covid being one of them, so I bit the...

Read More

down purple white circle arrow Amie C

“I had the best experience I’ve ever had at a dentist at Buckden Dental Clinic. The staff are all wonderful, from the receptionists to the nurses and dentists. I’m usually a very anxious person at the dentist....

Read More

down purple white circle arrow Rachel

“We were recommended Buckden Dental Clinic and are so glad we were. We recently joined Buckden Dental Clinic after moving to the area and being unable to find any NHS dentists taking patients on. Previous...

Read More

down purple white circle arrow T.F.W

“I have the utmost confidence that any dental work advised by Kam. I have been a patient of Kam for almost two years. During that time, I have needed a lot of dental work, including the removal of my remaining...

Read More

down purple white circle arrow Wendy C

“The hygienist today is the best one I have ever been to. I just wanted to tell you the hygienist today is the best one I have ever been to. She explained what she was going to do before she started, and I...

Read More

down purple white circle arrow Grant O

“Firstly, I must congratulate the whole team at the Buckden Dental Clinic in these much-changed and challenging Coronavirus times. Your procedures have been well organised to manage patients in a protected,...

Read More

down purple white circle arrow Alan B

“I don’t normally do reviews, well, not good ones anyway, but on this occasion I will. Having neglected my teeth for over 7 years due to circumstances...

Read More

down purple white circle arrow Amie C

“I had the best experience I’ve ever had at a dentist at Buckden Dental Clinic. The staff are all wonderful, from the receptionists to the nurses...

Read More

down purple white circle arrow Rachel

“We were recommended Buckden Dental Clinic and are so glad we were. We recently joined Buckden Dental Clinic after moving to the area and being unable...

Read More

down purple white circle arrow T.F.W

“I have the utmost confidence that any dental work advised by Kam. I have been a patient of Kam for almost two years. During that time, I have needed...

Read More

down purple white circle arrow Wendy C

“The hygienist today is the best one I have ever been to. I just wanted to tell you the hygienist today is the best one I have ever been to. She...

Read More

down purple white circle arrow Grant O

“Firstly, I must congratulate the whole team at the Buckden Dental Clinic in these much-changed and challenging Coronavirus times. Your procedures...

Read More
View More Reviews

GET IN TOUCH

Get started with us today

Let’s connect and make things happen! Whether you have questions, need experienced advice, or are ready to take the next step, we’re just a message away. Don’t wait, reach out today and let’s create something amazing together!

  • oval gray plain shape instagram instagram Instagram
  • oval gray plain shape facebook facebook Facebook
  • oval gray plain shape whatsapp whatsapp Whatsapp
enquiry shape

instagram instagram Follow us on Instagram

View on Instagram
4.9
Google-review