
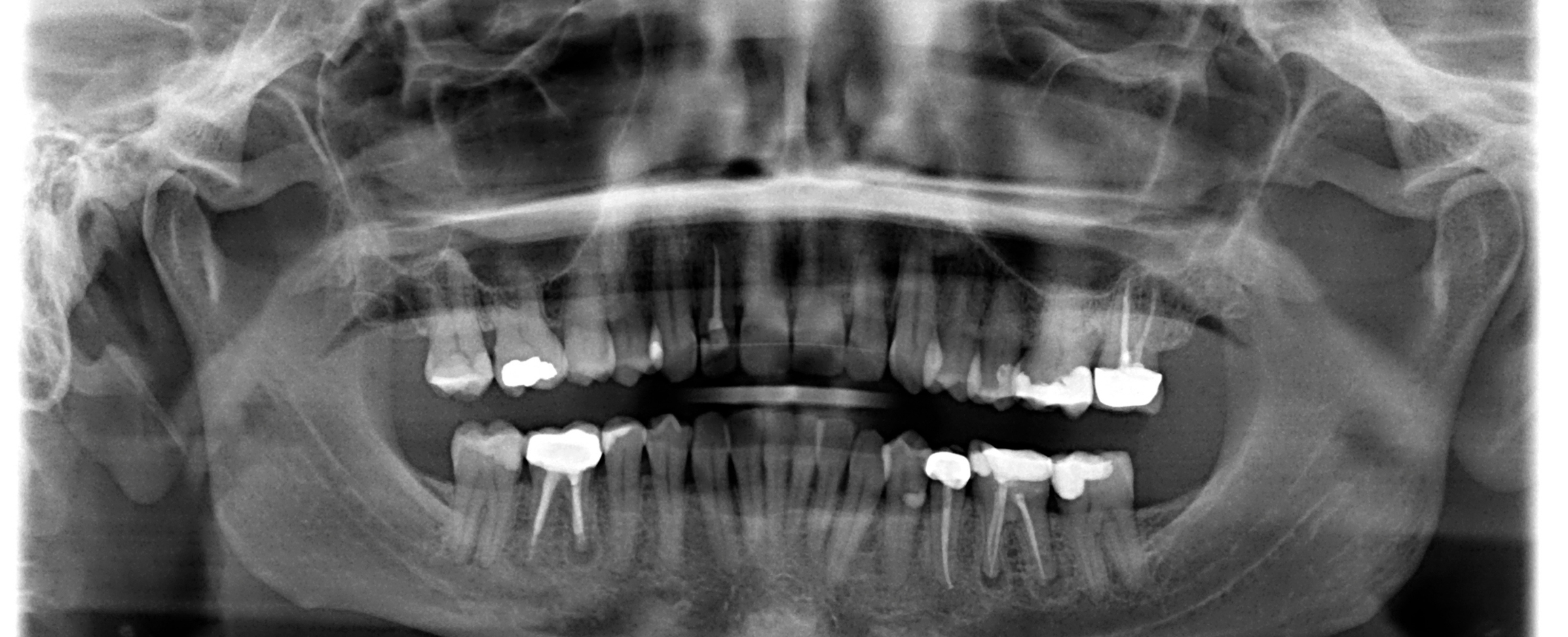
Dentistry is constantly evolving, and over the past 5 years, one of the biggest leaps in technology has come from imaging, which is used in the dental practice. At Buckden Dental Clinic, we have acquired a state-of-the-art 2D/CBCT Scanner developed by one of the leading dental imaging companies in the world, GENDEX, known for its reliable, innovative imaging equipment, and which offers a wide variety of solutions for both general dentists and specialists.
The company’s strong history in X-ray manufacturing, along with a deep dedication to delivering products that exceed the needs of dental professionals, has earned Gendex recognition as a global leader. The Gendex DP-700 gives clinicians dependable image capture of a wide variety of radiographs. These images are valuable for diagnosis and treatment planning of caries, root investigation, orthodontics, implants, and other surgical procedures, as well as patient education in both 2D panoramic and 3D CBCT scans.
We accept dental referrals for our 3D Scanner. We return images to the referring dentists upon completion.

The GXDP-700’s panoramic imaging includes a wide variety of projections, including bitewing and TMJ, to expand your radiographic capabilities.
Other projections consist of orthogonals, frontal dentition, and sinus, and most views also allow for the selection of either right or left exposures. With an automated 2D/3D sensor exchange, two sensors that rotate to capture both 3D and panoramic images, clinicians merely press a button to switch from taking 3D images to 2D panoramic projections for a lower targeted dose to the patient.

With both Full arch and targeted sectional scanning, a CBCT scan can be achieved in the perfect location to suit the patient’s anatomy.
This gives both accuracy of imaging and dose reduction by only imaging and exposing what you want to see. The scanner offers an 8cm wide scan for full arch cases, allowing for a scan big enough to cover the full dental arch but small enough to minimise the reporting area to avoid areas such as the TMJ and spine. As well as the option to have a 4cm scan diameter to cover a section of the dentition of interest for smaller cases.

The Gendex DP700 boasts one of the highest special resolutions on the market today.
With images being captured from a standard 0.3mm (300 microns) to an impressive 0.133 mm of detail. Due to this detail, it opens the imaging up to other areas of dentistry, such as periodontal and endodontic work and not just implants.
With CBCT Doses as low as 1.5x an OPG (in low dose mode), with standard full arch scans only 3x the dose of an OPG and the option to reduce the dose further by using the targeted (4cm) sectional scans as well as the 6cm height it means that you will never over scan into radiosensitive areas (like Orbits or Thyroid). The Gendex DP-700 offers one of the lowest CBCT doses on the market.
Enjoy gentle, comprehensive treatment for lasting oral health.
Learn MoreRelieve pain and restore your smile’s health.
Learn MoreAchieve a natural, confident look in just one visit.
Learn MoreEnjoy gentle, comprehensive treatment for lasting oral health.
Learn MoreRelieve pain and restore your smile’s health.
Learn MoreAchieve a natural, confident look in just one visit.
Learn More“I don’t normally do reviews, well, not good ones anyway, but on this occasion I will. Having neglected my teeth for over 7 years due to circumstances beyond my control, covid being one of them, so I bit the bullet and went to see my dentist (Heidi) and the outcome was not good as expected, I needed 6 teeth removed, yep that’s going to hurt a little, but then I remembered that Buckden...
Read More“I had the best experience I’ve ever had at a dentist at Buckden Dental Clinic. The staff are all wonderful, from the receptionists to the nurses and dentists. I’m usually a very anxious person at the dentist. I’ve had bad experiences before and had left going to the dentist far longer than I should. I’m also, regretfully, a smoker, which can feel embarrassing and shameful when speaking...
Read More“We were recommended Buckden Dental Clinic and are so glad we were. We recently joined Buckden Dental Clinic after moving to the area and being unable to find any NHS dentists taking patients on. Previous dentists had also left me with some bad experiences, so I was keen to find a well-recommended dental practice. We were recommended Buckden Dental Clinic and are so glad we were. They...
Read More“I have the utmost confidence that any dental work advised by Kam. I have been a patient of Kam for almost two years. During that time, I have needed a lot of dental work, including the removal of my remaining lower teeth and the provision of a full lower denture. The extractions were painless, and the denture immediately fitted perfectly with no adjustments required. I have the utmost...
Read More“The hygienist today is the best one I have ever been to. I just wanted to tell you the hygienist today is the best one I have ever been to. She explained what she was going to do before she started, and I didn’t get soaking wet like I did the last time I had it done with the water. Georgina was brilliant as always.”
Read More“Firstly, I must congratulate the whole team at the Buckden Dental Clinic in these much-changed and challenging Coronavirus times. Your procedures have been well organised to manage patients in a protected, safe environment. Explanations were clear from the first contact and were well thought out. The confidence gained overall with regard to the reduction of risk was reassuring. Simona’s...
Read More“I don’t normally do reviews, well, not good ones anyway, but on this occasion I will. Having neglected my teeth for over 7 years due to circumstances beyond my control, covid being one of them, so I bit the...
Read More“I had the best experience I’ve ever had at a dentist at Buckden Dental Clinic. The staff are all wonderful, from the receptionists to the nurses and dentists. I’m usually a very anxious person at the dentist....
Read More“We were recommended Buckden Dental Clinic and are so glad we were. We recently joined Buckden Dental Clinic after moving to the area and being unable to find any NHS dentists taking patients on. Previous...
Read More“I have the utmost confidence that any dental work advised by Kam. I have been a patient of Kam for almost two years. During that time, I have needed a lot of dental work, including the removal of my remaining...
Read More“The hygienist today is the best one I have ever been to. I just wanted to tell you the hygienist today is the best one I have ever been to. She explained what she was going to do before she started, and I...
Read More“Firstly, I must congratulate the whole team at the Buckden Dental Clinic in these much-changed and challenging Coronavirus times. Your procedures have been well organised to manage patients in a protected,...
Read More“I don’t normally do reviews, well, not good ones anyway, but on this occasion I will. Having neglected my teeth for over 7 years due to circumstances...
Read More“I had the best experience I’ve ever had at a dentist at Buckden Dental Clinic. The staff are all wonderful, from the receptionists to the nurses...
Read More“We were recommended Buckden Dental Clinic and are so glad we were. We recently joined Buckden Dental Clinic after moving to the area and being unable...
Read More“I have the utmost confidence that any dental work advised by Kam. I have been a patient of Kam for almost two years. During that time, I have needed...
Read More“The hygienist today is the best one I have ever been to. I just wanted to tell you the hygienist today is the best one I have ever been to. She...
Read More“Firstly, I must congratulate the whole team at the Buckden Dental Clinic in these much-changed and challenging Coronavirus times. Your procedures...
Read More